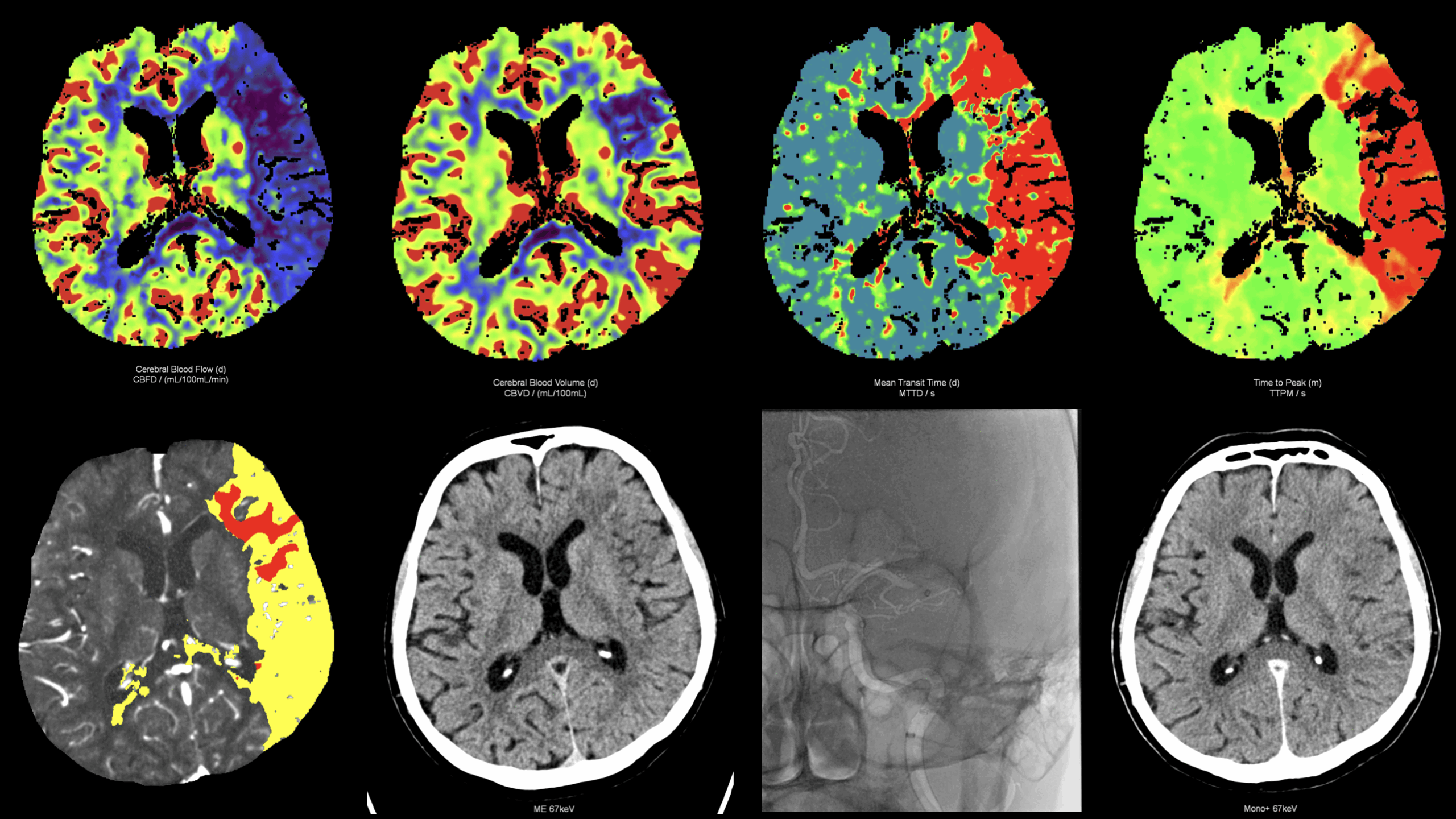
na pracovištích Kliniky zobrazovacích metod provádíme diagnostiku a také léčbu mozkové ischémie – mozkové mrtvice. Protože její výsledek je závislý na včasném zahájení léčby, přivolejte pomoc okamžitě osobě, která náhle přestala mluvit, nebo hýbat pravou nebo levou polovinou těla. Na urgentním příjmu FN Plzeň provedeme vyšetření výpočetní tomografií pomocí výpočetní tomografie, vyloučíme, že nejde o krvácení, posoudíme životaschopnost mozkové tkáně perfidním vyšetřením a zobrazíme cévy zásobující mozek CT angiografií. Následně za asistence anesteziologů provedeme zavedení speciálního nástroje do tepenného řečiště přes stehenní tepnu. Nástroj zavedeme až do mozkové cévy, ze které odstraníme krvení sraženinu a obnovíme průtok do postižené oblasti mozku. Čím dříve se tok krve obnoví tím méně odumře nervových buněk mozku – neuronů a tím je menší výsledné postižení mozkových funkcí. PAMATUJTE ČAS JE MOZEK





Comments are closed.